В Днепре мужчина около трех недель ходил с зубным протезом в бронхах: фото
В Днепре мужчина случайно проглотил зубной протез и почти три недели ходил и жил с ним в бронхах: медики провели операцию и удалили инородное тело из его организма - сообщает "Днепр оперативный" со ссылкой на пост Сергей Щудро в Facebook.

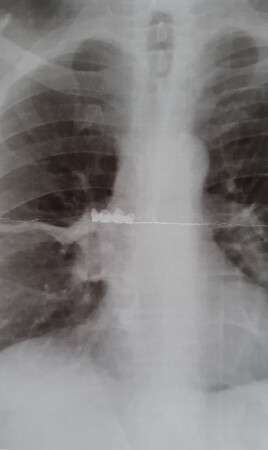
Автор сообщает, что к медикам обратился мужчина и сообщил, что он проглотил зубной протез. Проведенный рентген брюшной полости показал отсутствие инородного тела. В течение всего периода с того момента, как мужчина проглотил протез, у него наблюдался приступообразный кашель. С подозрением на COVID-19 пациенту сделали рентгенограмму грудной клетки и выявили инородное тело, находившееся в правом бронхе. Под местной анестезией мужчине сделали операцию и извлекли зубной протез.


Ранее мы сообщали, что коронавирус мутирует и что известно о новом штамме.